Rapat Koordinasi Gugus Tugas Kota Layak Anak (KLA) Semester II Tahun 2025, sebagai bentuk evaluasi dan penguatan komitmen lintas sektor dalam pemenuhan hak anak. Agenda ini menjadi momentum penting setelah Kota Cirebon berhasil meraih Penghargaan Kota Layak Anak Tingkat Pratama dari Kementerian Pemberdayaan Perempuan dan Perlindungan Anak (KemenPPPA)
Bunda, yuk periksa kesehatan anak di Posyandu bersama
Sosialisasi dan Koordinasi Penanganan Kasus Kejadian Ikutan Pasca Imunisasi (KIPI)
Kelurahan Pekalipan Laksanakan Muskel Verifikasi dan Validasi Data Penerima Bantuan Sosial
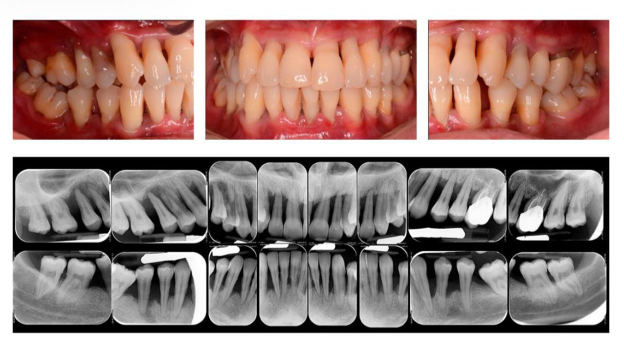
Penyakit periodontal merupakan kondisi peradangan kronis mengenai jaringan pendukung gigi yang meliputi gingiva, ligamentum periodontal, sementum, dan tulang alveolar.
dang Koperasi dan UKM DKUKMPP Kota Cirebon menyelenggarakan kegiatan Pelatihan UMKM Go Global dan Go Modern pada Senin, 1 Desember 2025, bertempat di Aula 1 DKUKMPP Kota Cirebon.
Cirebon Batik Festival 2025 telah sukses dilaksanakan pada 29–30 November 2025 bertempat di Area Paviliun Grage Mall Cirebon. Gelaran ini berlangsung meriah dengan antusiasme tinggi dari masyarakat, pelaku UMKM, pegiat batik, hingga generasi muda yang turut mengambil bagian dalam rangkaian kegiatan.
HARI AIDS SEDUNIA